Auttakaa äitiäni - Onni on niin suuri lahja!
Auttakaa äitiäni - Onni on niin suuri lahja!
Tue intohimoasi. Säännöllisesti.
Alkuperäinen Englanti teksti käännetty Suomalainen
Alkuperäinen Englanti teksti käännetty Suomalainen
Kuvaus
Auta äitiäni taistelemaan Takayasun oireyhtymää ja osteoporoosia vastaan.
Äidilläni on useita terveyshaasteita, jotka ovat tehneet jokapäiväisestä elämästä hänelle uskomattoman vaikeaa.
Hei, nimeni on Juri, ja teen tämän varainkeruun elämäni tärkeimmälle ihmiselle -äidilleni.
Hän taistelee tällä hetkellä kahta vakavaa terveydentilaa vastaan:
🔹 Takayasun arteriitti, harvinainen ja kivulias sairaus, joka tulehduttaa hänen suurimmat valtimonsa ja rajoittaa veren virtausta elintärkeisiin elimiin.
🔹 Osteoporoosi, joka on heikentänyt hänen luitaan niin paljon, että pienetkin liikkeet voivat aiheuttaa kovaa kipua tai murtumia.
Jokainen päivä on hänelle taistelua - fyysisesti, emotionaalisesti ja taloudellisesti.
Jatkuvasta väsymyksestä ja huimauksesta luukipuihin, jotka pitävät hänet hereillä öisin, olen nähnyt hänen muuttuvan ihmisestä, joka rakasti puistossa kävelyä, ihmiseksi, joka tarvitsee nyt apua sängystä nousemisessa.
Hänellä on kipuja useimpina päivinä, ja pienistäkin iloista on tullut harvinaisia.
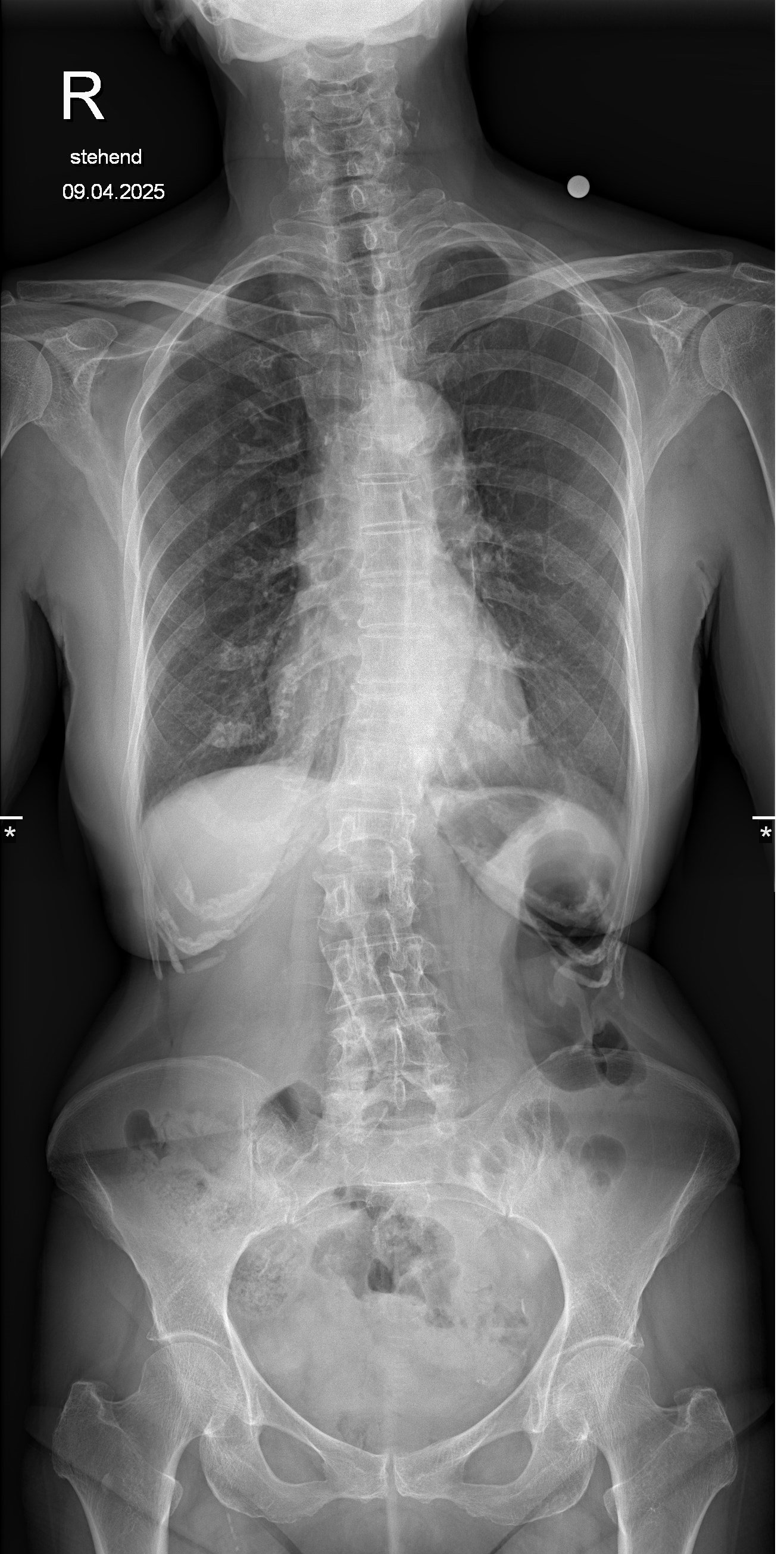
Hänellä on useita murtuneita luita ja harvinainen Takayasun oireyhtymä (jota kutsutaan myös Takayasun valtimotulehdukseksi) on harvinainen, krooninen tulehdussairaus, joka vaikuttaa ensisijaisesti suuriin verisuoniin, erityisesti aorttaan ja sen suuriin haaroihin.
Immuunijärjestelmä hyökkää virheellisesti verisuonten kimppuun, mikä aiheuttaa:
- Tulehdus
- Ahtauma (stenoosi) tai tukos.
- verisuonten seinämien heikkeneminen, joka johtaa aneurysmiin.
- Verenkierron heikkeneminen tärkeisiin elimiin (kuten aivoihin, sydämeen ja munuaisiin).
Oireet voivat olla aluksi epäspesifisiä (varhaisvaihe), ja ne etenevät valtimoiden vaurioituessa:
Varhainen (systeeminen) vaihe:
- Väsymys
- Kuume
- Nivelkipu
- laihtuminen
- Yöhikoilu
Myöhäinen (okklusiivinen) vaihe:
- Heikko tai puuttuva pulssi käsivarsissa tai jaloissa.
- Käden tai rintakehän kipu toiminnan aikana
- Korkea verenpaine
- Huimaus tai pyörtyminen
- Vaikeissa tapauksissa aivohalvauksen kaltaiset oireet
Elämä Takayasun taudin kanssa
- Säännölliset tarkastukset (magneettikuvaus, tietokonetomografia).
- Pitkäaikainen lääkehoito
- Elämäntapamuutokset sydämen rasituksen vähentämiseksi
- Emotionaalinen ja henkinen tuki (matka voi olla rankka).
Jos äitisi on tekemisissä tämän kanssa, hän on uskomattoman vahva, sanoo sairaalan lääkäri minulle.
Hänen lapsenaan haluan vain antaa hänelle mahdollisuuden voida paremmin - auttaa häntä hymyilemään, nauramaan ja tuntemaan itsensä taas omaksi itsekseen.
Sairaalalaskut, hoidot ja jokapäiväinen hoito kasaantuvat nopeasti, ja se on enemmän kuin pystymme hoitamaan yksin.
Siksi pyydän apuasi.
Kurottaudun puolestanne sydämestäni, joka on täynnä toivoa ja rakkautta. Äitini on sairas, ja minuun sattuu niin paljon nähdä hänen kärsivän.
Hän on aina ollut elämäni vahvin ja välittävin ihminen - sankarini, turvakotini, auringonpaisteeni.
Nyt hän tarvitsee apua, enkä pysty hoitamaan sitä yksin.
Sairaalalaskut, hoidot ja stressi kaikesta ovat olleet niin kovia.
Haluan vain, että hän paranee... hymyilee taas, nauraa taas ja tuntee kaiken rakkauden, joka ympäröi häntä.
Olen yhä vain hänen lapsensa, mutta tiedän, että yhdessä voimme saada aikaan jotain.
Jokainen pieni asia auttaa - oli se sitten lahjoitus, jako tai ystävällinen sana.
Auttakaa minua tuomaan hieman valoa takaisin äitini maailmaan.
Haluan hänen tuntevan sen onnen, jonka hän aina antoi minulle.
Kiitos sydämeni pohjasta.
Lahjoittakaa mitä tahansa, mihin teitä ohjataan.
Jokainen lahjoitus on kipinä.
Kiitos teille kaikille sydämestä ja sielun syvyyksistä.
Rakkaudella ja valolla
Voit nähdä kuvassa alhaalla muodonmuutoksen ......

Kuvausta ei ole vielä tehty.